智慧雕琢 全程关爱

P60

milan米兰P60时尚的外观设计和富含科技感的检查功能,在生殖健康、早孕筛查、胎心筛查、中晚孕查、盆底超声、乳腺超声、新生儿等领域给妇幼系统提供了更多的临床应用方案,重新定义高端超声如何应用于妇幼健康检查。

广告

高端平台 换新体验

P60是milan米兰基于妇产科领域量身打造的一款高端超声产品,在图像识别技术、高端成像技术等多个领域取得了长足进步,减少了人机交互操作并获得出色的图像,旨在为妇产科提供好的临床应用体验。

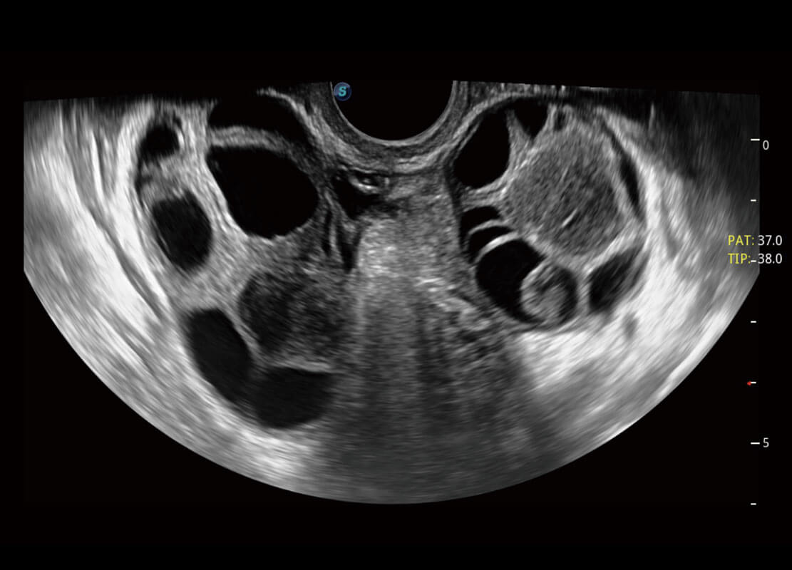
生殖健康

P60优异的图像质量搭载专科探头,在妇科基础疾病的诊断、卵泡生长的监测、输卵管通畅情况的判别等方面为您提供生殖应用方案。

  • 腔内妇科-宫腔分离

  • 腔内妇科-卵巢

  • 腔内三维-宫内节育器

  • 腔内三维-光影成像

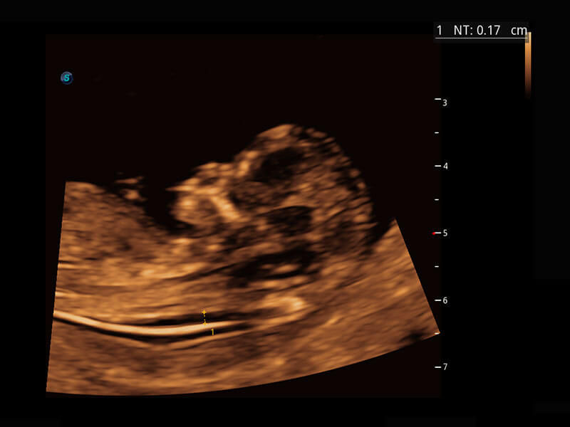
早孕筛查

P60在胎儿早孕期超声筛查中为您带来优异的图像质量。

  • 早孕-胎心

  • 高分辨率容积成像-早孕胎儿

  • 胎儿体循环

  • 光影成像-孕囊

胎心筛查

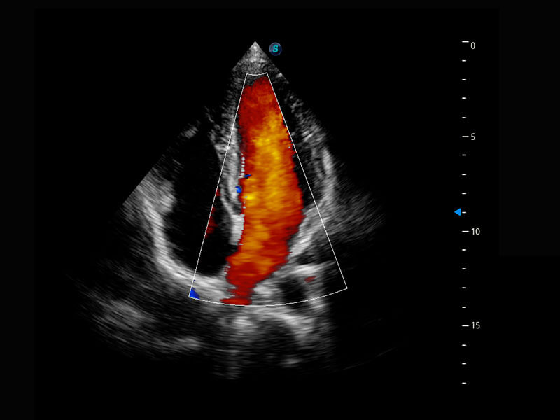
P60搭载一系列胎儿心脏成像技术,实现精细的胎儿心脏评估。

  • 四腔切面

  • 四腔心血流

  • 右室双出口

  • 胎心容积成像

中晚孕筛查

P60提供简单易学易用的高端诊断工具,为您中晚孕筛查提供快速清晰的解剖信息。

1 OFD(HC): 87.03 mm
HC: 251.00 mm
GA: 27w 1d
HC/AC: 96.13 %

2 BPD: 70.56 mm
GA: 28 w 2d

S-Fetus(acq.)
& S-Fetus(meas.)

S-Fetus

S-Fetus能够助您在实时扫查过程中自动识别标准切面、自动测量并录入报告。一个按键,即可快速、高效地获取胎儿生理指标,简化您的产科检查操作。

盆底超声

P60为盆底超声检查提供应用方案,多种腔内及腹部容积探头提供从二维、三维到四维的优异图像品质,实时快速三维容积数据获取,专业的测量工具包等人性化设计,为超声医生诊断提供有力保障。

Lev.Hiat A-r: 16.33 cm2
Lev.Hiat H-r: 53.70 mm
Lev.Hiat W-r: 43.96 mm
Lt-LUG-r: 24.16 mm
Rt-LUG-r: 19.94 mm

S-Pelvic

S-Pelvic

能够简化盆底检查的操作流程,可在二维模式及三维成像模式下实现一键自动提取出标准切面、自动识别当前切面、自动测量,提升盆底检查的高效性,同时也能让青年医生快捷的获得准确的检查结果。

* Due to regulatory reasons their future availability cannot be guaranteed.

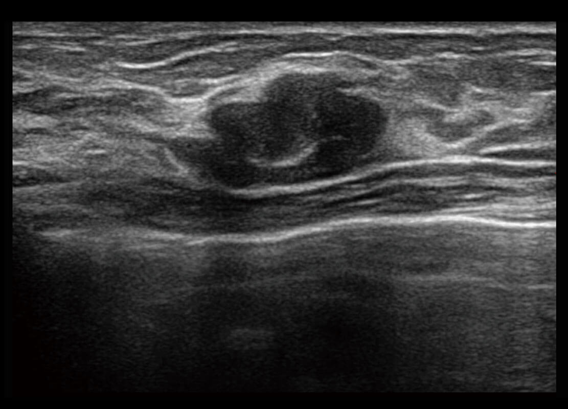
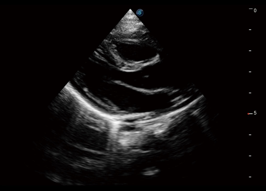
乳腺超声 / 新生儿

P60搭载宽频带线阵探头、宽景成像、弹性成像技术,为您提供乳腺应用方案。P60支持高频相控阵探头、线阵探头、腹部高频探头、腹部微凸探头等,丰富的探头群搭载敏感的彩色血流成像,适用于新生儿多种脏器检测要求,满足新生儿筛查需求。

  • 乳腺导管癌

  • 乳腺癌显微血流

  • 新生儿肝血管癌

  • 新生儿脊髓圆锥

  • 新生儿心脏

人机交互 挥洒自如

P60设计简约、紧凑,控制面板可上下升降、左右旋转,在不同的使用环境下可自适应调节,带给您舒适的操作体验。

Auto按键
一键优化:单次按键助您快速优化重要成像参数,支持多种成像模式, 提供卓越的图像。自定义功能:自定义Auto键功能,可用于S-Fetus,避免在触摸屏上反复寻找按键操作,可节省大量的时间和精力,以优化检查。

临床图

* Technology and features are system/configuration dependent. SonoScape Medical reserves the right to change the above information and discontinue any product at any time without prior notification and will not be liable for any consequences resulting from the use of this publication.

禁忌内容或者注意事项详见说明书